|
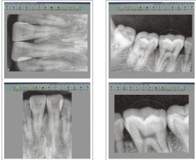
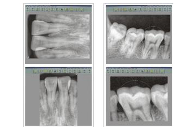
Film Scanner
XR52
|
|
Model: MD300 Features: *MD-300 model can be designed to enlarge the X-Ray film 50 times of images. *It can read any standard dental X-Ray film and arrange the entire mouth teeth position chart with the software. *Can make tube of teeth measuring, angle of teeth measuring, partly enlargement and fringe reinforcement all will be available. *Each teeth position sequence number can be showed when pressing standard overview oral teeth position picture. *It can transform correlative data into compact disc in order to be stored.
|

.png)
.jpg)
.jpg)
.jpg)
.jpg)
.jpg)